CT・MRIによる検査(健康診断)のご案内|脳MRI・MRA・低線量肺CT

CT・MRIドックのご案内

当院では、脳MRI・MRA検査および 低線量肺CT検査を実施しています。
症状が出る前の早期発見を目指したい方、将来の健康に備えたい方にご活用いただけます。

※本検査は自由診療です。
※検査内容や注意事項についてご不明な点がある場合は、事前にお問い合わせください。

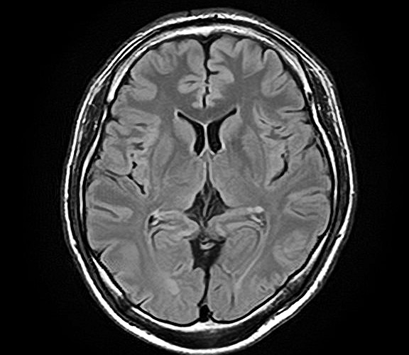
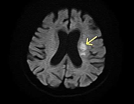
脳MRI・MRA検査

MRI(磁気共鳴画像)とMRA(磁気共鳴血管画像)を用いて、脳の断面や血管の状態を詳しく確認する検査です。
痛みや放射線被ばくの心配がなく、寝ているだけで脳の健康状態を調べることができます。
自覚症状のない小さな病変の早期発見を目指します。

脳MRI・MRA検査機器
脳MRI・MRA診断画像1
脳MRI・MRA診断画像2
脳MRI・MRA診断画像3
脳MRI・MRA診断画像4

こんな方におすすめです

  • 40歳を過ぎて一度も脳の検査をしたことがない方
  • ご家族に脳卒中(脳梗塞・脳出血)を経験された方がいる方
  • 高血圧、糖尿病、脂質異常症などの持病がある方
  • 物忘れが気になり始めた方

この検査でわかること

  • 脳出血の原因となる血管の異常
  • 脳腫瘍の有無
  • 加齢や認知症に伴う脳の変化
  • 自覚症状のない小さな脳梗塞の跡

料金

22,000円(税込)

脳MRI検診のWEB予約はこちら

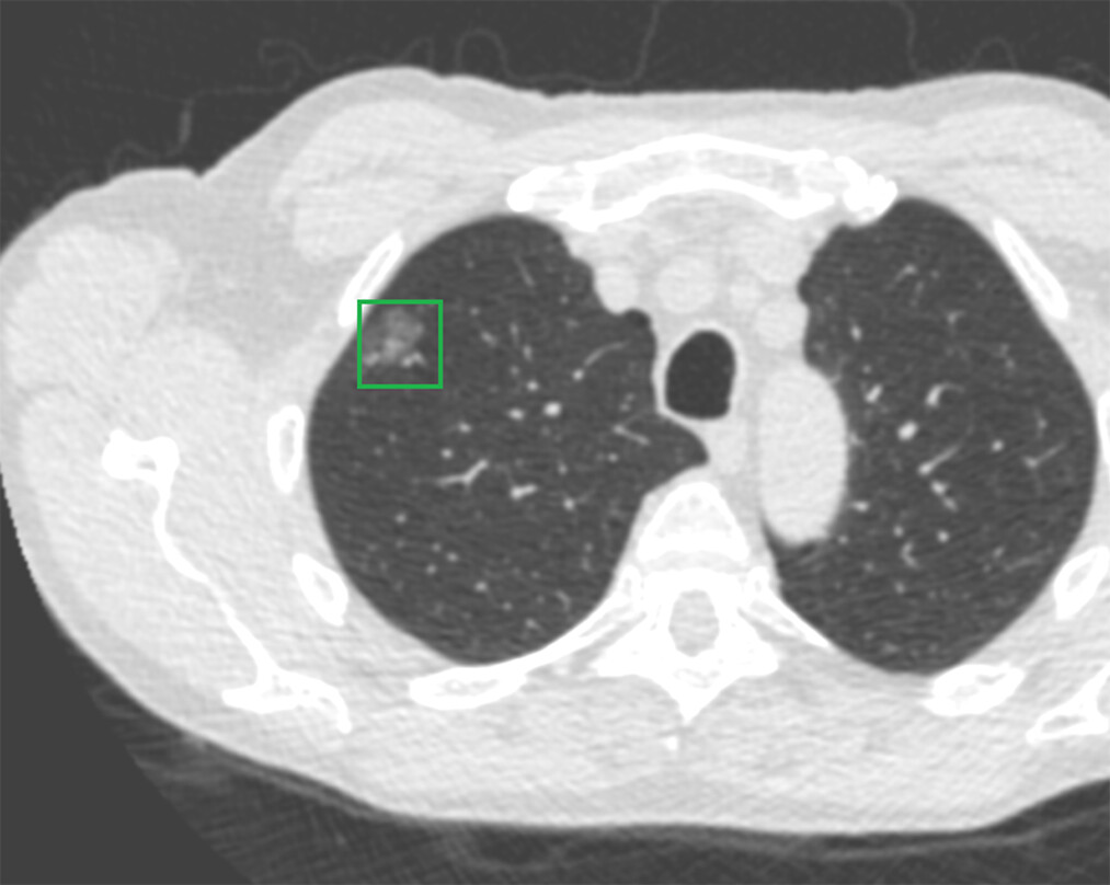
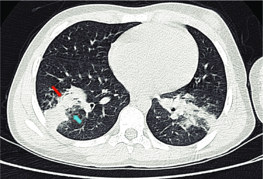
低線量肺CT検査

低線量肺CT検査は、通常のCT検査よりも少ない放射線量で肺の状態を詳しく調べる検査です。
胸部X線検査よりも小さな病変の発見に優れており、肺がんの早期発見に役立ちます。

低線量肺CT検査機器
低線量肺CT診断画像1
低線量肺CT診断画像2
低線量肺CT診断画像3

こんな方におすすめです

  • 喫煙習慣がある方、または過去に吸っていた方
  • 身近に喫煙者がいる方(受動喫煙が気になる方)
  • ご家族に肺疾患の既往がある方
  • 40歳以上で肺の状態を詳しく確認したい方

この検査でわかること

  • 肺がんの疑い
  • 慢性閉塞性肺疾患(COPD)などの肺の病気
  • 肺の結節影などの所見
  • 肺の炎症や過去の病変の痕跡

お問い合わせ

TEL. 0942-78-3177
FAX. 0942-78-3918